歯周病
歯周病とは?
骨が溶ける病気です

歯周病とは、歯周病菌を原因とする細菌性の病気です。虫歯に比べると自覚症状がほとんどないまま症状が進行し、気づいた頃には重症化している症例がほとんどです。細菌が引き起こす炎症が原因で、歯磨きの際に歯ぐきから出血するようになります。さらに悪化すると歯を支える歯槽骨も破壊されていき、歯がグラグラと動くようになると、抜歯が必要になる恐れも。「歯ぐきが赤く腫れている」「口臭が気になる」「歯がグラグラと動く」などの症状は、歯周病の疑いがあります。早期回復をめざすには、できるだけ早く治療に取り組むことが大切です。
上記の症状が気になる方は
当院へご相談ください。
- 歯を磨くと歯ブラシに血がつくことがある
- 歯が下に下がってきている気がする
- 起床時に口の中が粘つく
- 歯の間への食べかすの詰まりが気になる
- 歯がグラグラと動く
- 歯ぐきから膿が出る
- 歯茎が赤く腫れている
- 口臭が出てきた
歯周病によって
引き起こる病気
歯周病菌は歯ぐきの毛細血管から侵入して体内で毒素を出し続け、全身疾患のリスクを高めます。動脈硬化により血管の柔軟性が失われると、脳梗塞や心筋梗塞を発症する恐れがあります。妊娠中の場合は歯周病菌が子宮の収縮を強め、早産や低体重児出産を招く可能性も否定できません。できるだけ早期のうちから歯周病治療に取り組むことが、歯と全身の健康を守るきっかけにつながります。






エアフローを使った
細部のプラークの除去

歯面清掃を行う機器の1種であるエアフロー。治療の内容としては非常に細かいパウダー状の粒子を歯に吹き付け、歯の清掃を行っていきます。
歯周ポケット内に入り込んだプラークの除去効果が高く、通常の器具では届かないような細部の細菌まで掃除をすることが可能になります。
プラークコントロールが重要な歯周病の予防ですが、ブラッシングと歯科衛生士によるメンテナンスに加えて、エアフローを使うことでより効果的に行う事ができます。
エアフローのメリットとデメリット
メリット
- 通常のクリーニングでは落とせない汚れも落とすことができる
- 清掃に時間がかからない
- 清掃後の汚れがつきにくい
デメリット
- 保険が適用されない
- まれに知覚過敏のような症状が出る場合がある
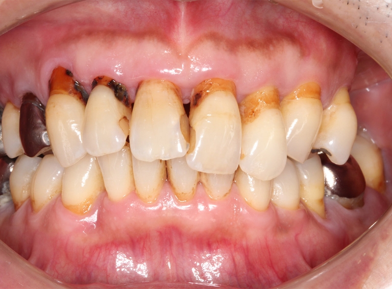
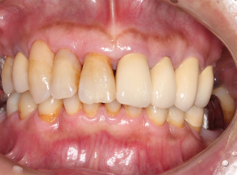
歯周病の治療例
CASE 歯周病治療症例
Before
After
| 年齢 | 59歳 |
|---|---|
| 性別 | 男性 |
| 症状 | 歯がグラグラする。歯茎が腫れる。 |
| 治療法 | 歯周病治療 補綴治療(被せ物) |
| 費用 | 症例による(基本的には保険治療で可能) |
| 通院回数 | 症例による |
| リスク・副作用 | 知覚過敏症状がでることがある |
| 備考 | 歯を支える骨が高度に吸収していたが、歯周病治療と被せ物の治療により改善し、治療完了。 |
歯周病の改善は
プラークコントロールが鍵
歯周病は痛みなどの症状の実感が薄いため、軽く見られがちな病気ですが、実際は顎の骨が溶けていく怖い病気です。しかし、そのことを認識して、ブラッシングやメンテナンス、基本的な治療を行うことで大半は治すことができます。
歯周病の治療は、とにかくプラークを除去することに尽きます。見える箇所のプラークは患者さんがご自宅で除去していただき、見えない歯茎の内側は歯科医でのメンテナンスを両立させてプラークコントロールにあたりますので、治療完了までに時間が必要な病気の一つでもあります。