小児矯正
(MRCクリニック)
不正咬合の原因を
見逃していませんか?
歯並びを決めるのは遺伝だけではありません。
遺伝で骨格が決まると思われてる方も多いかと思います。もちろんそういった要素も大きいですが、実は後天的な要素の方も大きくあります。環境や子どもの癖が原因で歯並びの悪化に繋がり、虫歯や歯周病、発音の不明瞭、さらに全身への姿勢にも影響していきます。「子どもの歯並びは遺伝だからしょうがない…」と思っている方も多いですが、実は子どもの日常の癖を治すことによって不正咬合を治す事ができます。
-
正しく飲み込めていますか?
正しい飲み込みとは…
口を閉じて舌を上あごにつけ、奥歯をかみしめ、のどを使うことです。 -
正しく噛めていますか?
正しく噛むとは…
前歯で噛み切り、唇を閉じて奥歯でしっかりとすり潰すことができていることです。 -
正しく呼吸できていますか?
正しい呼吸とは…
口ではなく鼻で呼吸すること。無意識に口が空いてしまい、口で呼吸する子どもが増えています。
もし出来ていない場合は、
これらが不正咬合に
繋がります


歯並びが悪いことによる将来のリスク
-
むし歯や歯周病のリスクが高まる
歯並びが悪いと歯と歯の間に汚れがたまりやすく、歯みがきがしづらくなります。その結果、むし歯や歯周病のリスクが高まり、口腔内の健康を損なう原因となってしまいます。小児矯正によって歯並びを整えることで、清潔なお口の環境を保ちやすくなり、むし歯予防にもつながります。
-
コンプレックスの原因になる
歯並びの乱れは見た目にも影響し、お子さまが成長する中で「笑顔に自信を持てない」といったコンプレックスの原因になることがあります。早期に小児矯正を行うことで、美しい歯並びを手に入れ、のびのびと笑顔で過ごせるようサポートします。
-
歯の寿命が縮まる
歯並びやかみ合わせに問題があると、一部の歯に大きな負担がかかりやすく、将来的に歯の寿命を縮めてしまう恐れがあります。小児期に正しいかみ合わせを育てておくことで、大人になってからも健康な歯を長く保つことができます。
当院はMRCクリニックです
MRCクリニックは歯並びを治すのではなく機能を治します
当院で取り入れている小児矯正の手法はMRCクリニック。 通常の矯正との違いですが、舌の動きや口の使い方など習慣化している悪習癖が歯並びの悪さの原因であることに着目し、その「原因」にアプローチする方法です。歯自体をワイヤーなどの装具によって強制的に動かす「結果」に対する通常の矯正とは異なります。抜歯をすることもなく、顎の骨の育成を促進することで、自然な本来の表情を実現します。歯並びを治すというよりも、悪習癖をなくし正しい口の使い方へ導き機能を治すというイメージです。
MRC小児矯正の特徴
-
子供の成長と健康に
対するアプローチMRC矯正は、歯並びを整えるだけでなく、お子さまの顎や顔の成長を自然な形でサポートします。呼吸や舌の使い方など、お口の機能を正しく育てることで、全身の健康にもつながる矯正方法です。
-
後戻りの可能性が低い
一般的な矯正では、矯正後に歯が元の位置に戻ってしまう「後戻り」が問題となることがあります。MRC矯正は歯並びの原因となる癖や呼吸習慣を改善するため、治療後も安定した状態を保ちやすいのが特徴です。
-
装着時間が少ない
MRC矯正で使用する装置は、主に夜間と日中の短時間だけの装着で十分効果が期待できます。学校や友達との時間を妨げることなく、自然な生活リズムの中で続けられる治療です。
-
豊富な症例に対応可能
出っ歯や受け口、ガタガタした歯並びなど、さまざまな症例に対応できるのがMRC矯正の強みです。幅広い症例で成果を上げているため、多くのお子さまに適した治療方法といえます。
-
痛みが少なく
子どもへの負担が軽い従来のワイヤー矯正に比べて、MRC矯正は強い力をかけずに歯や顎をゆっくりと導きます。そのため痛みが少なく、お子さまが安心して取り組める矯正治療です。
MRCクリニックの
矯正治療への
アプローチ方法
MRCクリニックの治療方法は、取り外しのできるマウスピースの装着とアクティビティによるトレーニングで矯正を行います。この2つのアプローチにより正しい口の使い方へ導き、顎の骨の発達を促していきます。ワイヤーなどによる矯正とは違い、強制的に力技で整えることはありません。
マウスピースの装着は、就寝時と起きている間で1時間ほどと短い時間で済み、痛みも抑えられます。また抜歯は必要ありません。一般的な矯正で懸念される後戻りも、MRCクリニックの場合は原因の改善を行うため、その心配がありません。
-
マウスピース

マウスピースを装着することによって、正しい口や舌の使い方へ矯正し、骨が拡大していきます。また、口の粘膜を引っ張ることでも骨の発達をサポートしていきます。
装着時間は1日1時間+寝ている間のみ。そのため、学校などへ装着していく必要はありません。 -
アクティビティ

専用のアクティビティルームを2階に設置し、呼吸、舌、飲み込み方、唇と頬を中心に、正しい口の機能へ繋がるトレーニングを行います。
アクティビティの内容

当院のアクティビティでは、お口の誤った癖をなおし、正しい飲み込み方と呼吸を身に着けることを目指しています。舌や唇、頬の筋肉をバランスよく使えるようになることで、自然と歯や顎の正しい成長を促します。
アクティビティは遊び感覚で行えるため、小さなお子さまでも楽しみながら取り組めるのが特徴です。毎日の積み重ねによって、歯並びだけでなく姿勢や発音の改善にもつながり、健やかな成長をサポートします。
MRCクリニックの
メリットとデメリット
メリット
- 歯本来の機能の改善ができる
- 骨格の成長を促し、正しい顔つきへ導くことができる
- 将来の抜歯を防ぐ
- ワイヤーの装着がないため、虫歯のリスクが少ない
- 顎の骨を広げるため、治療後に再度歯並びが崩れることが少ない
デメリット
- 家庭での親の協力が必要
- 症状によっては治療できないケースもある
小児矯正の料金表
-
矯正費用
(器具を全て含む) 418,000円~
518,000円(税込み) -
調整指導料(月1回) 5,500円(税込み)
治療期間・回数:約3年・月1回
小児矯正の治療例
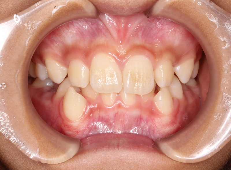
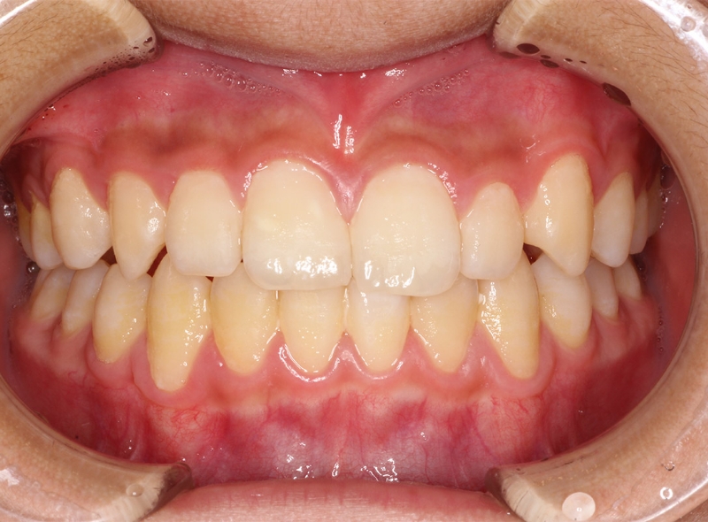
CASE 小児の矯正(出っ歯)
Before
After
| 年齢 | 9歳(治療開始時) |
|---|---|
| 性別 | 女性 |
| 症状 | 上顎前突 |
| 治療法 | マイオブレイス(マウスピース) |
| 費用 | 418,000円(税込み) |
| 通院回数 | 症例による |
| リスク・副作用 | 特になし |
| 備考 | 出っ歯の改善 |
CASE 小児の矯正(叢生)
Before
After
| 年齢 | 11歳(治療開始時) |
|---|---|
| 性別 | 男性 |
| 症状 | 叢生(歯並びがガタガタしている) |
| 治療法 | |
| 費用 | 495,000円(税込み) |
| 通院回数 | 症例による |
| リスク・副作用 | 特になし |
| 備考 | やや遅い治療開始ではあったが、本人の頑張りによりブラケット(ワイヤー)を使わず、歯も抜かずに治療完了。 |
MRCクリニックは
ただ歯を並べるための
治療ではなく、
子ども達の健康への
アプローチ
一般的なワイヤー矯正と違い、舌や口の使い方のトレーニング、そしてご家庭でのマウスピースの装着という方法で歯並びを治していくMRCクリニック。
子どもの歯並びの改善はもちろんですが、正しい口の使い方を身に着け、正しい機能を取り戻す事で、歯周病や虫歯の予防、かみ合わせ、口呼吸の改善に繋がります。
特に舌の動かし方は歯並びにも影響が強く、口呼吸や嚥下(飲み込み)が上手く行かないことで悪い歯ならびとなってしまいます。この原因からトレーニングしていく治療メニューですので、日々の「継続」がカギとなるため、親御さんのご家庭での協力が不可欠となります。歯の矯正というよりも、健康へのアプローチと言ってもいいMRCクリニック。家庭と歯科医院で協力し合って日々のトレーニングを頑張りましょう!